All-on-X Implantsin Brunswick, ME
All-on-X dental implants can replace a full arch of missing teeth without relying on uncomfortable dentures that shift and slide around. Using as few as 4 dental implants — and sometimes more, depending on your needs — you can enjoy a stable, natural-looking smile. In some cases, you can even walk out with a brand-new smile the very same day.

Why should I choose All-on-X Implants?
All-on-X is one of the most advanced and customizable methods of full-arch dental implant restoration. It offers superior stability, a longer lifespan, enhanced comfort, and better long-term oral health compared to traditional dentures. If you’re missing most or all of your teeth and want a permanent, reliable solution, All-on-X could be your best choice.


CBCT Digital Imaging
With cone-beam computed tomography, or CBCT technology, we can provide our patients peace of mind with more effective and informative treatment planning. This reliable technology creates 3D images that ensure precise placement for increased patient comfort and better results.


Implant Expertise You Can Trust
Dr. Jacob Kieffer is a Fellow of the International Congress of Oral Implantologists (ICOI) and an Associate Fellow of the American Academy of Implant Dentistry (AAID), reflecting years of advanced training in full-arch implant procedures like All-on-X.


Gentle Surgery with Acteon Piezotome
We use the Acteon Piezotome to make implant surgery smoother and more comfortable. This ultrasonic tool helps minimize trauma to the bone and soft tissue, promoting faster healing with less pain.


Bone Grafting When Needed
If you’ve experienced significant bone loss, we offer bone grafting to rebuild and reinforce your jaw. This ensures a stable foundation for your All-on-X implants, even in more complex cases.



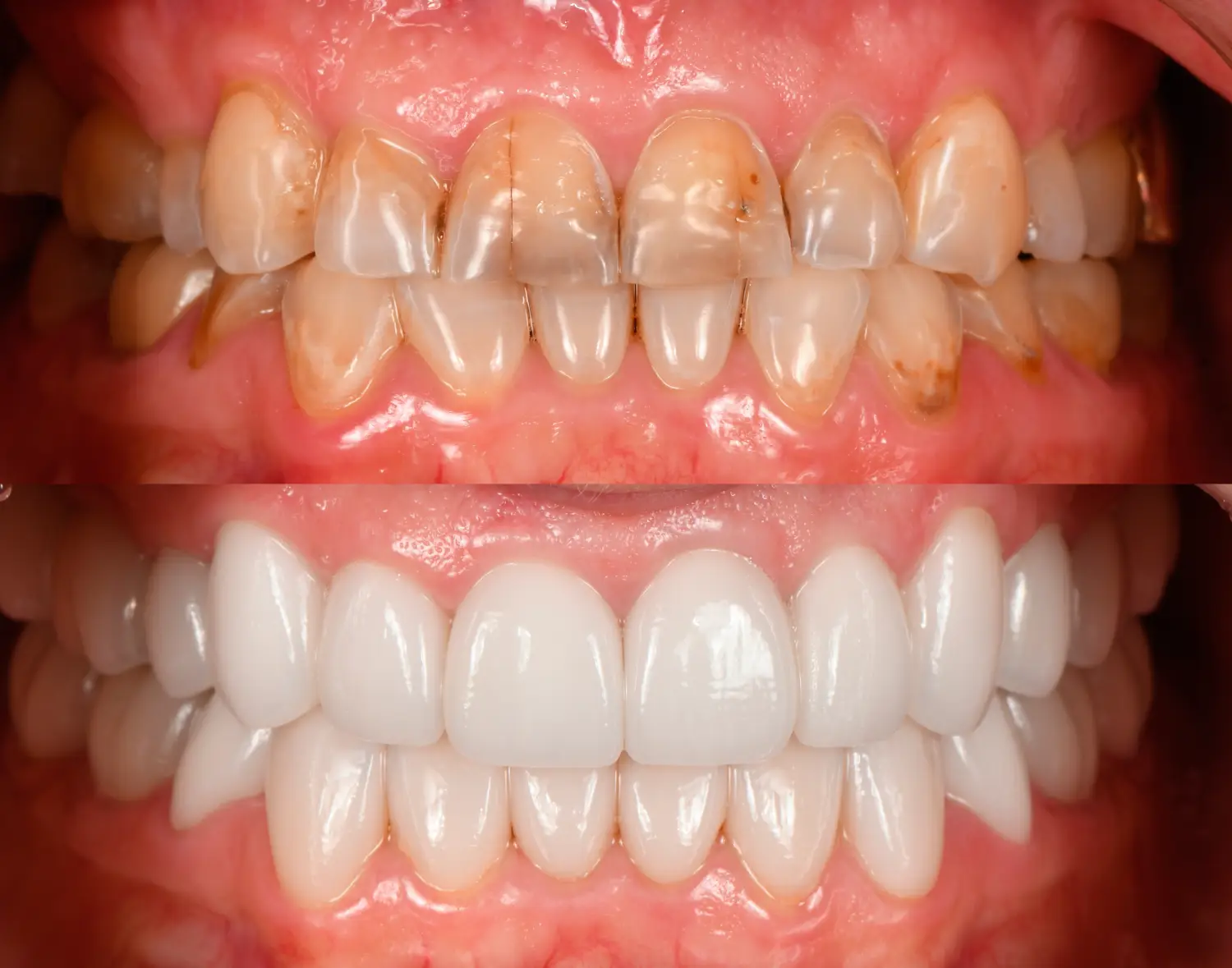
The Benefits of All-on-X
We are honored that you’ve chosen us to help you regain your oral health. To show our gratitude, we are offering our patients an exclusive dental implant special. Get the high-quality care your smile deserves today.
$[XXXX] Off Your Dental Implants!
The Benefits of All-on-X
Long Lifespan
With proper care, dental implants can last decades — often a lifetime. While the bridge attached to your implants may eventually need updating, it's far more durable compared to removable dentures that typically wear out every 5 years.
Lifelike Results
All-on-X bridges are designed from high-quality materials like porcelain or zirconia to closely match the look, feel, and function of natural teeth. Plus, because they're securely anchored to implants, you'll never experience the slipping or irritation that can happen with dentures.
Better Oral Health
Implants help stimulate and preserve your jawbone, preventing the bone loss that typically happens after tooth loss. All-on-X supports long-term oral health and helps maintain your facial structure over time.
The All-on-X Implant Process
Comprehensive Planning and Implant Placement
Comprehensive Planning and Implant Placement
Your journey begins with a comprehensive consultation, including a 3D CBCT scan to assess your bone structure and design your custom surgical plan. During this visit, we also take records to design and fabricate your temporary set of teeth. Depending on your unique needs, 4 to 6 implants are strategically placed to maximize stability and support. Thanks to advancements in guided surgery, we can often angle implants to make the most of available bone, reducing the need for bone grafting. In most cases, a temporary set of teeth is placed on your implants within 24–48 hours after surgery, allowing you to start smiling — and living — more confidently right away.
Healing, Monitoring, and Temporary Prosthesis
Healing, Monitoring, and Temporary Prosthesis
Healing and integration (called osseointegration) are critical to long-term success. Over the next 3–6 months, your implants will permanently bond with your jawbone. During this time, you’ll wear a lightweight temporary prosthesis designed to protect the implants and support healing. You'll need to follow a soft food diet and attend a few check-ins at our office to monitor progress. As your implants stabilize, we’ll also gather additional impressions and digital scans to start crafting your final custom bridge.
Trusted Across Brunswick
Hear What Patients Are Saying
FAQ's
Frequently Asked Questions
Check out these frequently asked questions, or call us to speak with our team.
All-on-X is a full-arch dental implant solution that uses as few as four to six strategically placed implants to support a complete set of replacement teeth. Unlike traditional implants, which may require an implant for every missing tooth, All-on-X is more efficient, less invasive, and often avoids the need for bone grafting. It’s ideal for patients with multiple missing or failing teeth who want a stable, natural-looking smile.
If you're missing most or all of your teeth—or are facing extensive dental work—All-on-X might be a great solution. Many patients who have been told they don’t have enough bone for traditional implants still qualify for All-on-X thanks to its strategic placement and angulation. The best way to know for sure is to schedule a consultation so we can evaluate your oral health, medical history, and goals.
The All-on-X process typically involves a few phases: a consultation and 3D imaging, the placement of implants, and then delivery of a temporary set of teeth shortly after surgery. After a few months of healing, your final custom prosthetic is placed. From start to finish, the process usually takes about 4–6 months—but you’ll walk out with a new smile much sooner.
Thanks to modern anesthesia and sedation options, most patients experience little to no discomfort during the procedure. Some swelling or soreness is normal for a few days afterward, but it’s typically manageable with over-the-counter medications. Most patients are surprised by how smooth the recovery is—and how quickly they can return to normal routines.




